627
社区成员
发帖
与我相关
我的任务
分享往届赛题回顾:www.marsbigdata.com/?channel=shequ&carrier=pmd(登陆平台可查看具体赛事详情及数据集下载)
下载方式:远程ftp下载
下载url路径:ftp://58.215.217.12:2121
账号:seed2020 密码:seed@123
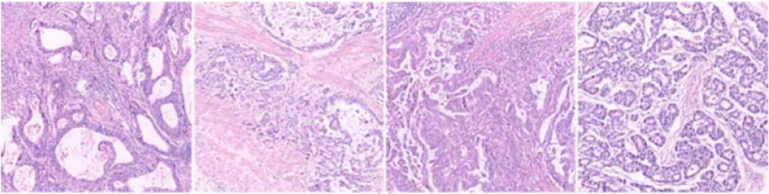
本次大赛提供的是胃部组织病理切片图像数据。示例如下:


图一: 图像与标注数据预览图
胃部组织病理切片数据包括阳性样本和阴性样本,阳性样本是图像中出现癌症病灶的样本,阴性样本是图像中没有出现癌症病灶的样本;所有图像都是20倍率视野下获取的
注意:阴性样本中包括正常胃部组织图像、胃炎性病变组织图像,胃炎性病变组织图像的产生是由于患者通常在胃部产生了不适之后才会去医院进行检查,而通常情况下,胃炎的可能性比较高,胃癌的可能性比较低,所以我们认为胃炎性病变组织图像也是非胃癌恶性病变组织的类别。